2026-04-04 - السبت
القراله يكتب : خفض النفقات أم إعادة بناء الدولة المالية؟ قراءة في قرارات الترشيد nayrouz شظايا مسيرة إيرانية توقع 4 إصابات في البحرين.. وتطال مباني في دبي nayrouz جامعة فيلادلفيا تحتفي بخريجي الفوج (32) برعاية رئيسها الجراح...صور nayrouz تجار : 375 ألف طن استهلاك الأسمنت في الربع الأول nayrouz الميثاق الوطني – العقبة يطلق جلسة حوارية كبرى دعماً لمواقف الملك ورفضاً لإعدام الأسرى nayrouz إيجاز صحفي لوزير الاتصال الحكومي والقوات المسلحة والأمن العام الساعة الثانية بعد ظهر اليوم nayrouz اتفاقية لتمويل مشاريع لخريجي "التدريب المهني" بقروض حسنة تصل إلى 3 آلاف دينار nayrouz دبي: لا إصابات جراء سقوط حطام على مبنى شركة أوراكل للإنترنت nayrouz "فرحة يتيم"… مبادرة إنسانية ترسم البسمة وتعيد الدفء لقلوب الأيتام في الرمثا nayrouz البطوش يكتب :ترشيد الإنفاق التزام قانوني ونهج وطني مستدام nayrouz الـرحّـالـة العجارمـة يـجــوب 40 دولة للترويج للمملكة nayrouz أخوارشيدة يكتب: سقوط الأقنعة.. هكذا صمدت الحقيقة الأردنية أمام وباء الشائعات وأبواق مأجورة nayrouz البرلمان العربي يدين الاعتداء الإيراني على منشآت في الإمارات والكويت nayrouz الاحتلال يواصل إغلاق الأقصى لليوم الـ 36 وسط تحذيرات من تداعيات خطيرة nayrouz 2272 طنا من الخضار ترد السوق المركزي nayrouz رصد حريق بمنشآت تخزين لشركات نفط أجنبية في العراق عقب هجوم nayrouz مقتل شخصين باستهداف مسيّرة إسرائيلية وتصعيد غارات على جنوب لبنان nayrouz 19 مليون دينار زيادة في الصادرات الأردنية لأوروبا خلال كانون الثاني بنمو 54% nayrouz قمة كروية تجمع الفيصلي والوحدات بدوري المحترفين السبت nayrouz التعليم العالي تعمم بعدم عقد امتحانات جامعية خلال الأعياد المسيحية nayrouz
وفيات الأردن اليوم السبت 4-4-2026 nayrouz وفاة الزميل الصحفي السوداني محمد المهدي nayrouz وفيات الأردن اليوم الجمعة 3-4-2026 nayrouz العميد فواز الخوالدة يشارك في تشييع جثمان الرقيب عبدالقاهر السرحان - صور nayrouz اللواء المتقاعد إسماعيل الشوبكي يعزي بوفاة العقيد المتقاعد عصام الكفاوين nayrouz وفاة عمر محمود الخشان "أبو قصي" أحد رجالات عشيرته nayrouz بلدية السرحان تعزي الزميلة هند الزعيم بوفاة عبد القاهر الواكد nayrouz الجبور يعزي بوفاة الشاب عيسى قنديل نسيب علاء الضامن nayrouz المركز الجغرافي الملكي الأردني ينعى والدة الزميل سامي البشابشة nayrouz وفيات الأردن اليوم الخميس 2-4-2026 nayrouz اللواء الطبيب صلاح الجيتاوي في ذمة الله nayrouz تربية لواء الموقر تنعى والدة ماجد القيسي nayrouz الرائد المتقاعد عمر الظهيرات في ذمة الله nayrouz وفاة الشاب محمد زيد الزيدان إثر حادث مؤسف nayrouz وفيات الأردن اليوم الأربعاء 1-4-2026 nayrouz وفاة حسين مصلح تليلان السليّم (أبو صهيب) والدفن بعد المغرب اليوم nayrouz وفاة طالبة من جامعة الحسين بن طلال إثر حادث سير nayrouz وفاة الشاب محمد محمود السعيداني إثر حادث سير nayrouz وفيات الأردن اليوم الثلاثاء 31-3-2026 nayrouz وفاة عبدالرحيم البريزات "أبو عاصم" nayrouz

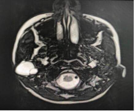
استئصال أكياس كلبية لحالة نادرة في مدينة الحسين الطبية... صور

{clean_title}
نيروز الإخبارية :

قام فريق جراحة الرأس والعنق من دائرة الأذنية برئاسة المقدم الطبيب صهيب المومني، بإجراء عملية جراحية لحالة نادرة جداً على مستوى العالم وذلك باستئصال أكياس كلبية من داخل غشاء العصب السابع المار في الغدة النكافية لفتاه عشرينية في مدينة الحسين الطبية، وباشراف مستشار اول جراحة الرأس والعنق الدكتور حسان الحسبان.

وأوضح المومني، بأن هذه الحالة تعتبر نادرة جداً على مستوى العالم حيث من المتعارف عليه  بأن الأكياس الكلبية تصيب الكبد والرئتين، وإضاف  وفي هذه الحالة وجدت الاكياس الكلبية داخل غشاء العصب السابع المار من الغدة النكافية، دون اصابة نسيج الغدة النكافية نفسه.

واشار الحسبان، بأن الفريق الجراحي إستئصال الجزء المصاب من العصب السابع المار في الغدة النكافية، من ثم قام بترميم العصب السابع بإستخدام جهاز تتبع العصب السابع والمكيروسكوب الجراحي، وذلك بتوصيل الفروع السليمة للعصب مع ما تبقى من جذع العصب بعد استئصال الجزء المصاب. 

وذكر رئيس دائرة الاذنية العميد الطبيب اياد الصفدي، بأن تخصص جراجة الرأس والعنق قد ازدهر بشكل كبير في الأونه الأخيرة ويقوم بعمليات جراحية متقدمة جداً في هذا المجال .